Curso de Formação em Tomografia Computadorizada – Formação Especializada para Atuar com Exames de Alta Complexidade

Curso de Formação em Tomografia Computadorizada

Introdução ao Curso de Formação em Tomografia Computadorizada –  A tomografia computadorizada é uma das ferramentas mais avançadas da medicina diagnóstica por imagem. Nos últimos anos, a demanda por profissionais qualificados para operar equipamentos de tomografia e interpretar imagens médicas cresceu de forma significativa, impulsionando a oferta e a procura por cursos especializados na área. … Ler mais

O que é uma mielografia e em quais casos pode ser indicado?

O que é uma mielografia e em quais casos pode ser indicad

A Relevância das Mielografias – Já se perguntou como os médicos conseguem obter imagens nítidas da estrutura interna da coluna vertebral? Com o avanço da tecnologia médica, vários métodos de diagnóstico por imagem evoluíram para ajudar os profissionais de saúde a entender melhor o que pode estar acontecendo dentro do corpo humano. Entre esses métodos, a … Ler mais

“Como a IA na Radiologia Está Revolucionando o Diagnóstico Médico: Descubra os Benefícios!”

IA na Radiologia Está Revolucionando o Diagnóstico Médico

A Inteligência Artificial na Radiologia – O que aconteceria se a inteligência artificial pudesse transformar a maneira como diagnosticamos doenças? Nos últimos anos, a incorporação da inteligência artificial (IA) na radiologia tem gerado debates animados no campo da medicina. IA na Radiologia Está Revolucionando o Diagnóstico Médico – Com o avanço tecnológico, a capacidade de processar … Ler mais

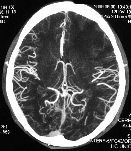
Descubra Tudo sobre Angio Tomografia: O Guia Completo para Saúde Vascular”

A Angiotomografia: Ferramenta Essencial no Diagnóstico Moderno Você já se perguntou como os médicos conseguem visualizar o interior do corpo humano sem fazer uma única incisão? A resposta está na evolução das tecnologias de imagem, como a angiotomografia. Este exame tornou-se vital no diagnóstico de inúmeras condições vasculares, permitindo que especialistas vejam vasos sanguíneos em … Ler mais

Tomografia por Impedância Elétrica (TIE): Inovação no Diagnóstico

Tomografia por Impedância Elétrica (TIE): Inovação no Diagnóstico

Tomografia por Impedância Elétrica (TIE): A Nova Fronteira no Diagnóstico por Imagem A Tomografia por Impedância Elétrica (TIE) é uma técnica inovadora de imagem que utiliza sinais elétricos para gerar imagens em tempo real do interior do corpo humano. Diferente das modalidades tradicionais, como a tomografia computadorizada ou a ressonância magnética, a TIE se baseia … Ler mais

A Importância da Tomografia Computadorizada no Diagnóstico por Imagens

A Importância da Tomografia Computadorizada no Diagnóstico por Imagens

A tomografia computadorizada (TC) é uma das tecnologias mais revolucionárias no campo do diagnóstico por imagem. Utilizando raios-X em combinação com tecnologia avançada de computação, a TC produz imagens detalhadas e precisas do interior do corpo humano, permitindo que médicos e profissionais da saúde diagnostiquem uma ampla variedade de condições com maior rapidez e precisão. … Ler mais

Sábado de Inovação e Conhecimento em Radiologia

🌟 Sábado de Inovação e Conhecimento em Radiologia 🌟 📅 Data: 6 de Abril ⏰ Horário: 9h às 16h 📍 Local: Auditório do Hospital São João Batista 🔬 Um dia inteiro dedicado às últimas inovações e conhecimentos em Radiologia! Este evento é uma oportunidade imperdível para profissionais da área se atualizarem com as novas tendências … Ler mais

Tomografia Coronariana

  Tomografia Coronariana: A Ferramenta Revolucionária em Imagem Cardíaca Descrição SEO: Descubra as maravilhas da Tomografia Coronariana, uma técnica inovadora de imagem cardíaca, oferecendo precisão incomparável no diagnóstico de doenças cardíacas. Introdução à Tomografia Coronariana A Tomografia Coronariana revolucionou o campo da imagem cardíaca, fornecendo um método não invasivo, eficiente e altamente preciso para o … Ler mais

Peito Escavado – é uma condição médica que afeta a parede torácica

O peito escavado é uma condição médica que afeta a parede torácica, dando lugar a uma deformidade em qualquer lugar do esterno e as costas ficam para dentro do peito. Também se conhece como “pecho hundido” ou “tórax en embudo”. Esta anomalia pode ser evidente desde o nascimento ou desenvolvimento durante a adolescência. As causas … Ler mais